IACM Células Madre

¿Cómo se trata la artrosis con células madre?

¿Cómo se trata la artrosis con células madre? Los expertos están investigando formas de usar células madre para tratar la artritis en la rodilla y otras articulaciones. Muchos médicos ya usan la terapia con células madre para tratar la artritis, pero no se considera una práctica estándar. Tratamiento con Células Madre Hay mucho debate sobre el […]

¿Cómo se trata la artrosis con células madre? Leer más »

Tratamiento con Células Madre en Lesiones de Rodilla

Tratamiento con Células Madre en Lesiones de Rodilla Las lesiones de rodilla son muy comunes y vienen en muchas formas. Los esguinces, las distensiones, la inflamación, las dislocaciones, los desgarros de los tendones y otras formas de problemas de rodilla pueden ocurrir debido a casi cualquier tipo de actividad física que estrese las piernas. Ciertas

Tratamiento con Células Madre en Lesiones de Rodilla Leer más »

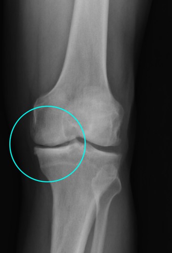
Artrosis de Rodilla

Artrosis de Rodilla: ¿Qué es? Síntomas, Diagnóstico y Tratamientos   ¿Qué es la Artrosis de Rodilla? La articulación de la rodilla está formada por el fémur, en la parte superior, y por otra, la tibia y el peroné. Estas superficies están tapizadas por el cartílago articular. La artrosis de rodilla se caracteriza por el deterioro

Artrosis de Rodilla Leer más »

Tratamiento con células madre para la Artrosis

¿Qué son las células madre? Las células madre son células inmaduras que pueden dividirse y transformarse en diferentes tipos de células maduras con diferentes funciones. Hay 2 tipos principales de células madre: Las células madre adultas se encuentran en la médula ósea, la grasa, la sangre, las articulaciones y muchos otros tejidos. Estas células madre

Tratamiento con células madre para la Artrosis Leer más »

Células Madre en Artrosis de Rodrilla

La artrosis es la enfermedad degenerativa articular más frecuente, caracterizada por la destrucción del cartílago que recubre los huesos y que hace de amortiguador, favoreciendo el movimiento. Se trata de una enfermedad que sufre entre el 5% y 15% de la población en Argentina. Células Madre en Artrosis de Rodrilla La rodilla es una de

Células Madre en Artrosis de Rodrilla Leer más »

De Dónde se Obtienen las Células Madre

Las células madre se originan a partir de dos fuentes principales : tejidos corporales adultos y embriones. Los científicos también están trabajando en formas de desarrollar células madre a partir de otras células, utilizando técnicas de «reprogramación» genética. Células Madre Adultas El cuerpo de una persona contiene células madre durante toda su vida. El cuerpo

De Dónde se Obtienen las Células Madre Leer más »

Tipos de trasplantes con células madre

Autólogo En este tipo de trasplante, las células madre proceden del propio paciente. No hay riesgo de rechazo inmunológico. Células 100% compatibles con el propietario. Alogénico Trasplante efectuado con células madre provenientes de un donante. Para realizarlo se debe realizar un estudio de histocompatibilidad. Semejanza o identidad inmunológica entre los tejidos de un donante y el

Tipos de trasplantes con células madre Leer más »

¿Qué es y qué lesiones puede regenerar un Trasplante Autólogo de Células Madre?

¿Qué es un Trasplante Autólogo de Células Madre? Un trasplante autólogo de células madre utiliza células madre sanas de su propio cuerpo. Es un procedimiento en el que las células madre sanas de un paciente (células formadoras de sangre) se extraen de la sangre o la médula ósea antes del tratamiento, se almacenan y luego

¿Qué es y qué lesiones puede regenerar un Trasplante Autólogo de Células Madre? Leer más »

Scroll al inicio
Ir arriba